Dr. Hall,
At what age can you get veneers? I’ve had extensive dental work done and my teeth are stained and ruined from having braces twice. I am looking to transform my smile without spending a fortune.
– Kaitlyn from Kentucky
(See Dr. Hall’s answer below.)
We thank our advertisers who help fund this site.
Kaitlyn,
Let me start by giving you some background information.
Porcelain veneers, done correctly, are a very conservative restoration. Traditional veneers are done with minimal preparation of about 0.3 millimeter or a little more, about the thickness of a fingernail. Young anterior teeth have large pulp chambers, and an aggressive preparation, such as would be required for a crown, could damage the pulp. But porcelain veneers wouldn’t encroach at all on the pulp. Some cases can be even done with no preparation. So there is no age limit as far as risking any damage to the teeth.
The issue that could make veneers inadvisable would be if the front teeth haven’t fully erupted, which could be the case for middle or young teenagers. But by the age of 18 that wouldn’t be an issue. The problem with a younger patient would be that, if veneers are placed and then the teeth erupt further, there would be part of the front surface of the teeth that wouldn’t be covered by the veneers, which would look funny.
But I’m reading between the lines with your question and seeing a couple of things that concern me. You imply with your question that you are young and then you say that you have had extensive dental work done, meaning that you must have had a lot of cavities. And then you say that your teeth have been “stained and ruined” from braces.

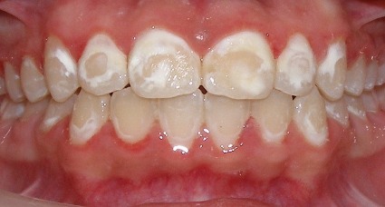
Decalcification from poor oral hygiene while wearing braces. Photo courtesy of Dr. David Luk, Brooklyn, NY.
When teeth get stained when you have braces, that usually comes from poor oral hygiene while you are wearing braces. The food collects around the brackets and, if it isn’t removed promptly, will result in decalcification around the brackets, which shows up as stains when the brackets are removed. They start out as frosty white areas which in time will turn brown. Notice in the photo the outline of the bracket and the decalcification that occurred around the bracket.
Until you get your oral hygiene under control, an ethical cosmetic dentist will not recommend porcelain veneers. Most cases of rampant tooth decay occur with people who are continually snacking during the day. There is no amount of tooth brushing that will save your teeth if you are constantly snacking.
Do you have a comment or anything else to add? We’d love to hear from you. Enter your comment below. Or click here to ask Dr. Hall a question.
About David A. Hall
Dr. David A. Hall was one of the first 40 accredited cosmetic dentists in the world. He practiced cosmetic dentistry in Iowa, and in 1990 earned his accreditation with the American Academy of Cosmetic Dentistry. He is now president of Infinity Dental Web, a company in Mesa, Arizona that does advanced internet marketing for dentists.

I never realized veneers could be done so young as long as the teeth are fully erupted. The part about stains from braces turning into decalcification is really eye-opening. This definitely gives me a better idea of what to look into before considering cosmetic work for my children.