Hello Dr. Hall,
I have four white spot forming cavitations between upper teeth. I believe they are called incipient caries. My dentist said it hasn’t reached dentin so he wants to watch and wait.
What is the best approach? I don’t want them to turn into full-blown cavities. I am 24 years old and have only had one cavity in the past.
Looked up and saw some information on Curodont, resin infiltration, resin sealants and silver diamine fluoride. Is there one that is more effective and a better long-term solution?
Just a background on my dental health, I have only ever had one cavity in the past and I am 24 years old. A thorough explanation and products to use would be greatly appreciated. Maybe some supplements as well?
Looked up and saw some information on Curodont, resin infiltration, resin sealants and silver diamine fluoride. Is there one that is more effective and a better long term solution?
Also, I am not sure, but could the white incipient caries be caused by my mouthguard? If not, what causes this to happen?
Thanks,
Jennifer from Portland, OR
(See Dr. Hall’s answer below.)
We thank our advertisers who help fund this site.
Jennifer,
I’m going to make an assumption that you are talking about what dentists would call white spot lesions in your teeth. You used the word “cavitation,” which suggests to me that the white spots have gone beyond just being white and there is some depression in the surface of your tooth.
Let me first explain white spot lesions and how caries progresses. I tried to get ChatGPT first and then Gemini to draw me diagrams showing this, but I had serious trouble getting them to understand. So I took the best parts of both of them and did a little Photoshop of my own to make it a little more accurate. Here’s the diagram:

On the left is a white spot lesion that is incipient caries. Acid from bacteria has weakened the enamel by leaching minerals out, leaving a small white spot. In the middle image, the enamel is weakened all the way through to the dentin and there is a tiny amount of decay in the dentin. On the right, the caries has progressed further into the dentin, removing the support the dentin gives to the enamel, and the surface of the enamel has caved in to become a visible cavity.
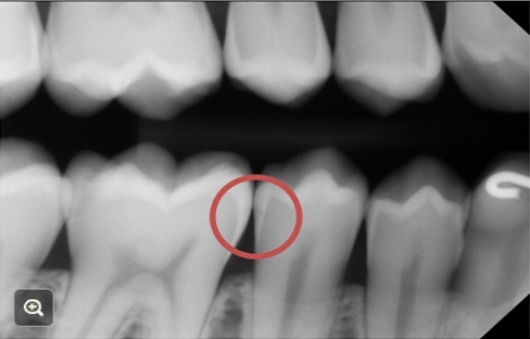
For a more accurate picture of the decay process, I found this x-ray. Look at the area that is circled. The molar on the left has a very superficial caries lesion that is still in the enamel. The premolar on the right has a v-shaped caries lesion that has barely penetrated the enamel and there is a very slight darkening in the dentin.
Incipient caries, as illustrated in the top image on the left or in the x-ray in the molar, can be re-mineralized. There are minerals in your saliva that can deposit in the lesion, strengthening it. But if the white spot lesion has grown and become chalky and soft, which would be the case in the middle image above or the premolar on the x-ray, it is too late and needs to be restored. And, of course, if it has progressed to frank cavitation, as in the above image on the right, it needs to be restored.
The caution I would share with you is that your dentist may not be able to tell if your white spot lesions have penetrated the enamel. I was concerned that you used the word “cavitations.” If there is any kind of depression formed in the enamel, it is probably too late to try to re-mineralize them.
But if they are truly completely in the enamel, yes, there are ways you can strengthen the enamel. And you listed several that you have researched. Fluoride, administered with fluoride-containing toothpastes, or fluoride treatments given to children, or with concentrated fluoride gels that are available by prescription, absorbs into the surface of the enamel and helps draw in minerals from your saliva to help repair incipient lesions.
The options you mentioned (Curodont, resin infiltration, and silver diamine fluoride) are all treatments that would need to be administered in the dental office. Curodont will help re-mineralize the lesion by drawing minerals from your saliva like fluoride does. Resin infiltration involves etching the teeth and then applying a resin that will infiltrate into the enamel, reinforcing it. Silver diamine fluoride will kill the bacteria in the lesion and arrest the decay. However, it creates a dark stain. Resin sealants that you also mentioned are mostly used on the chewing surfaces of teeth to prevent decay from ever starting.
About your other question – could your mouthguard be helping cause the decay? If you are putting the mouthguard in without first thoroughly brushing your teeth, yes. A lot of people don’t realize that your saliva helps fight decay. It has buffers that neutralize the acid produced by bacteria, and it has minerals that will help re-mineralize the enamel. If you leave food particles around your teeth and then put in your mouthguard, it will help protect the bacteria from these defenses in your saliva. But putting in a mouthguard over clean teeth won’t contribute to any decay.
– Dr. Hall
Do you have a comment or anything else to add? We’d love to hear from you. Enter your comment below. Or click here to ask Dr. Hall a question.
About David A. Hall
Dr. David A. Hall was one of the first 40 accredited cosmetic dentists in the world. He practiced cosmetic dentistry in Iowa, and in 1990 earned his accreditation with the American Academy of Cosmetic Dentistry. He is now president of Infinity Dental Web, a company in Mesa, Arizona that does advanced internet marketing for dentists.

So what is a natural smile? Exploring this idea, I asked ChatGPT to create an image of a woman with a natural smile, and on the right is what it came up with. That’s pretty close to my idea of a natural smile.
In 1906, the German psychiatrist Alois Alzheimer first described the disease that now bears his name. In his autopsy of a patient, he observed “peculiar deposits” in the brain, deposits that we now know as amyloid plaques. These deposits disrupt the transmission of nerve impulses between brain cells.